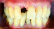
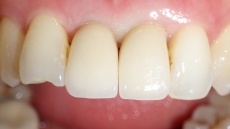
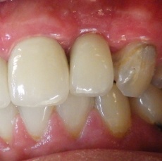
|
|

類別/3D安全低疼痛植牙
前牙區缺牙案例
前牙蛀牙而拔除後植牙直接補骨後裝牙,可以縮短療程一半以上時間
※ 本網站介紹的治療案例僅屬個別案例,對不同人士可能有不同效果。任何案例如與網站流覽者曾接受的治療如有雷同,則純屬巧合。
請勿根據此處的資訊診斷自己牙齒的問題,應向專業牙醫生查詢。
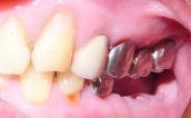
類別/3D安全低疼痛植牙
上下顎區三顆缺牙重建
上顎區缺兩顆後牙,下顎區缺一顆後牙.植牙後裝假牙重建
※ 本網站介紹的治療案例僅屬個別案例,對不同人士可能有不同效果。任何案例如與網站流覽者曾接受的治療如有雷同,則純屬巧合。
請勿根據此處的資訊診斷自己牙齒的問題,應向專業牙醫生查詢。
類別/3D安全低疼痛植牙
下顎後牙區植牙
下顎後牙缺牙多年,使用3D導航植牙,可以避開下齒槽神經,安全的植入植體
※ 本網站介紹的治療案例僅屬個別案例,對不同人士可能有不同效果。任何案例如與網站流覽者曾接受的治療如有雷同,則純屬巧合。
請勿根據此處的資訊診斷自己牙齒的問題,應向專業牙醫生查詢。
類別/3D安全低疼痛植牙
植牙支撐式全口假牙
※ 本網站介紹的治療案例僅屬個別案例,對不同人士可能有不同效果。任何案例如與網站流覽者曾接受的治療如有雷同,則純屬巧合。
請勿根據此處的資訊診斷自己牙齒的問題,應向專業牙醫生查詢。
類別/3D安全低疼痛植牙
後牙區缺牙
左下後牙缺牙數年,使用3D導航植牙植入植體後復型,恢復咬合力
※ 本網站介紹的治療案例僅屬個別案例,對不同人士可能有不同效果。任何案例如與網站流覽者曾接受的治療如有雷同,則純屬巧合。
請勿根據此處的資訊診斷自己牙齒的問題,應向專業牙醫生查詢。
類別/3D安全低疼痛植牙
自體骨移植配合植牙
在極度嚴重骨萎縮的case使用自體下顎骨移植後植入植體再復型前牙區
※ 本網站介紹的治療案例僅屬個別案例,對不同人士可能有不同效果。任何案例如與網站流覽者曾接受的治療如有雷同,則純屬巧合。
請勿根據此處的資訊診斷自己牙齒的問題,應向專業牙醫生查詢。
類別/3D安全低疼痛植牙
前牙門牙缺牙植牙
側門牙缺牙使用前牙專用植體復型美觀
※ 本網站介紹的治療案例僅屬個別案例,對不同人士可能有不同效果。任何案例如與網站流覽者曾接受的治療如有雷同,則純屬巧合。
請勿根據此處的資訊診斷自己牙齒的問題,應向專業牙醫生查詢。
類別/3D安全低疼痛植牙
門牙兩顆植牙
※ 本網站介紹的治療案例僅屬個別案例,對不同人士可能有不同效果。任何案例如與網站流覽者曾接受的治療如有雷同,則純屬巧合。
請勿根據此處的資訊診斷自己牙齒的問題,應向專業牙醫生查詢。
類別/3D安全低疼痛植牙
前牙門牙缺牙植牙
因蛀牙而拔除後直接植牙
※ 本網站介紹的治療案例僅屬個別案例,對不同人士可能有不同效果。任何案例如與網站流覽者曾接受的治療如有雷同,則純屬巧合。
請勿根據此處的資訊診斷自己牙齒的問題,應向專業牙醫生查詢。
類別/3D安全低疼痛植牙
前牙區四顆缺牙使用植牙復型
使用兩棵植體植入正中門牙,另兩顆側門牙以牙橋方式支撐,也可以恢復美觀,又經濟
※ 本網站介紹的治療案例僅屬個別案例,對不同人士可能有不同效果。任何案例如與網站流覽者曾接受的治療如有雷同,則純屬巧合。
請勿根據此處的資訊診斷自己牙齒的問題,應向專業牙醫生查詢。
類別/3D安全低疼痛植牙
前牙區缺牙案例
患者左上門牙因牙週病而拔除,植入骨粉增加厚度後再植入植體,完成復型
※ 本網站介紹的治療案例僅屬個別案例,對不同人士可能有不同效果。任何案例如與網站流覽者曾接受的治療如有雷同,則純屬巧合。
請勿根據此處的資訊診斷自己牙齒的問題,應向專業牙醫生查詢。
類別/3D安全低疼痛植牙
上顎小臼齒缺牙
上顎缺牙數年使用斷層評估後植牙與補骨同時完成
※ 本網站介紹的治療案例僅屬個別案例,對不同人士可能有不同效果。任何案例如與網站流覽者曾接受的治療如有雷同,則純屬巧合。
請勿根據此處的資訊診斷自己牙齒的問題,應向專業牙醫生查詢。
類別/3D安全低疼痛植牙
前牙區缺牙案例
※ 本網站介紹的治療案例僅屬個別案例,對不同人士可能有不同效果。任何案例如與網站流覽者曾接受的治療如有雷同,則純屬巧合。
請勿根據此處的資訊診斷自己牙齒的問題,應向專業牙醫生查詢。
類別/3D安全低疼痛植牙
全瓷冠
前牙全瓷冠可以改變不適當的假牙顏色成為和自然牙一樣透明自然的顏色
※ 本網站介紹的治療案例僅屬個別案例,對不同人士可能有不同效果。任何案例如與網站流覽者曾接受的治療如有雷同,則純屬巧合。
請勿根據此處的資訊診斷自己牙齒的問題,應向專業牙醫生查詢。
類別/3D安全低疼痛植牙
右上側門齒缺牙植牙
使用現拔現植可以直接復型美觀的牙齒
※ 本網站介紹的治療案例僅屬個別案例,對不同人士可能有不同效果。任何案例如與網站流覽者曾接受的治療如有雷同,則純屬巧合。
請勿根據此處的資訊診斷自己牙齒的問題,應向專業牙醫生查詢。
類別/3D安全低疼痛植牙
上顎竇增高術
原本只有2mm骨頭厚度的上顎竇使用最先進的微創上顎竇增高器械,不需如傳統之大傷口就可以達到更好的效果!
※ 本網站介紹的治療案例僅屬個別案例,對不同人士可能有不同效果。任何案例如與網站流覽者曾接受的治療如有雷同,則純屬巧合。
請勿根據此處的資訊診斷自己牙齒的問題,應向專業牙醫生查詢。
類別/3D安全低疼痛植牙
前牙區蛀牙拔牙直接植牙
四顆門牙皆蛀剩牙根,植入四顆植體,可以縮短等待時間,快速裝牙
※ 本網站介紹的治療案例僅屬個別案例,對不同人士可能有不同效果。任何案例如與網站流覽者曾接受的治療如有雷同,則純屬巧合。
請勿根據此處的資訊診斷自己牙齒的問題,應向專業牙醫生查詢。
類別/3D安全低疼痛植牙
前牙區植牙搭配全瓷冠
前牙區植牙可以使用全瓷二氧化鋯植牙柱體,搭配全瓷牙冠展現出根針牙一樣的透光性
※ 本網站介紹的治療案例僅屬個別案例,對不同人士可能有不同效果。任何案例如與網站流覽者曾接受的治療如有雷同,則純屬巧合。
請勿根據此處的資訊診斷自己牙齒的問題,應向專業牙醫生查詢。
類別/3D安全低疼痛植牙
前牙缺牙案例
患者前牙三顆缺牙數年使用補骨手術增加牙肉的厚度後,再植入植體
※ 本網站介紹的治療案例僅屬個別案例,對不同人士可能有不同效果。任何案例如與網站流覽者曾接受的治療如有雷同,則純屬巧合。
請勿根據此處的資訊診斷自己牙齒的問題,應向專業牙醫生查詢。
類別/3D安全低疼痛植牙
右上門牙缺損案例
右上門牙因為長期蛀牙而須拔除,直接植入植體可以快速的恢復美觀
※ 本網站介紹的治療案例僅屬個別案例,對不同人士可能有不同效果。任何案例如與網站流覽者曾接受的治療如有雷同,則純屬巧合。
請勿根據此處的資訊診斷自己牙齒的問題,應向專業牙醫生查詢。
類別/3D安全低疼痛植牙
前牙區四顆缺牙使用植牙復型
患者長時間缺牙,使用兩顆植體搭配牙橋方式復型前牙四顆門牙
※ 本網站介紹的治療案例僅屬個別案例,對不同人士可能有不同效果。任何案例如與網站流覽者曾接受的治療如有雷同,則純屬巧合。
請勿根據此處的資訊診斷自己牙齒的問題,應向專業牙醫生查詢。
類別/3D安全低疼痛植牙
右上門牙缺牙案例
右上門牙因為假牙內二度蛀牙而須拔除直接植入植體後可以迅速恢復美觀
※ 本網站介紹的治療案例僅屬個別案例,對不同人士可能有不同效果。任何案例如與網站流覽者曾接受的治療如有雷同,則純屬巧合。
請勿根據此處的資訊診斷自己牙齒的問題,應向專業牙醫生查詢。
類別/3D安全低疼痛植牙
左上門牙缺牙案例
左上門牙因為蛀牙而須拔除,使用微創植牙馬上拔牙馬上植入,可以大幅縮短裝牙的時間
※ 本網站介紹的治療案例僅屬個別案例,對不同人士可能有不同效果。任何案例如與網站流覽者曾接受的治療如有雷同,則純屬巧合。
請勿根據此處的資訊診斷自己牙齒的問題,應向專業牙醫生查詢。
類別/3D安全低疼痛植牙
上顎全口缺牙案例
上顎全口缺牙使用補骨與上顎竇增高術恢復全口重建
※ 本網站介紹的治療案例僅屬個別案例,對不同人士可能有不同效果。任何案例如與網站流覽者曾接受的治療如有雷同,則純屬巧合。
請勿根據此處的資訊診斷自己牙齒的問題,應向專業牙醫生查詢。
類別/3D安全低疼痛植牙
全口重建案例
患者全口缺牙數年,使用上顎鬥增高術配合前牙區齒槽脊增高術,植入植體後完成上顎全口之重建
※ 本網站介紹的治療案例僅屬個別案例,對不同人士可能有不同效果。任何案例如與網站流覽者曾接受的治療如有雷同,則純屬巧合。
請勿根據此處的資訊診斷自己牙齒的問題,應向專業牙醫生查詢。
類別/3D安全低疼痛植牙
前牙區缺牙三顆案例
患者因著牙而拔除,使用3D導航植牙恢復其美觀
※ 本網站介紹的治療案例僅屬個別案例,對不同人士可能有不同效果。任何案例如與網站流覽者曾接受的治療如有雷同,則純屬巧合。
請勿根據此處的資訊診斷自己牙齒的問題,應向專業牙醫生查詢。
類別/3D安全低疼痛植牙
左上第一門牙植牙案例
患者左上第一門牙因蛀牙而須拔除,使用斷層評估適合現拔現種,植入瑞士前牙專用植體後復型美觀
※ 本網站介紹的治療案例僅屬個別案例,對不同人士可能有不同效果。任何案例如與網站流覽者曾接受的治療如有雷同,則純屬巧合。
請勿根據此處的資訊診斷自己牙齒的問題,應向專業牙醫生查詢。
類別/3D安全低疼痛植牙
前牙缺牙案例
患者前牙六顆僅剩一顆門齒,直接拔除後直接植入牙根重建美觀
※ 本網站介紹的治療案例僅屬個別案例,對不同人士可能有不同效果。任何案例如與網站流覽者曾接受的治療如有雷同,則純屬巧合。
請勿根據此處的資訊診斷自己牙齒的問題,應向專業牙醫生查詢。
類別/3D安全低疼痛植牙
前牙區缺牙五顆案例
病患因為車禍撞斷五顆牙齒使用補骨與植牙手術恢復前牙區美觀
※ 本網站介紹的治療案例僅屬個別案例,對不同人士可能有不同效果。任何案例如與網站流覽者曾接受的治療如有雷同,則純屬巧合。
請勿根據此處的資訊診斷自己牙齒的問題,應向專業牙醫生查詢。
類別/3D安全低疼痛植牙
前牙區門牙植牙美觀案例
側門齒因為撞斷而拔除使用瑞士前牙專用植體可以使牙齦保留得更自然
※ 本網站介紹的治療案例僅屬個別案例,對不同人士可能有不同效果。任何案例如與網站流覽者曾接受的治療如有雷同,則純屬巧合。
請勿根據此處的資訊診斷自己牙齒的問題,應向專業牙醫生查詢。
類別/3D安全低疼痛植牙
前牙全瓷冠植牙案例
病患上顎四顆門牙拔除,使用瑞士植體搭配全瓷牙冠柱,利用最高科技德國全瓷牙冠恢復與真牙一樣的透明度
※ 本網站介紹的治療案例僅屬個別案例,對不同人士可能有不同效果。任何案例如與網站流覽者曾接受的治療如有雷同,則純屬巧合。
請勿根據此處的資訊診斷自己牙齒的問題,應向專業牙醫生查詢。
類別/3D安全低疼痛植牙
前牙補骨,牙肉移植,植牙案例
黃先生因為牙周問題拔除左上門牙與側門牙,牙齦因此萎縮,使用牙肉移植與骨移植手術後植入牙根恢復牙齦與牙齒的美觀
※ 本網站介紹的治療案例僅屬個別案例,對不同人士可能有不同效果。任何案例如與網站流覽者曾接受的治療如有雷同,則純屬巧合。
請勿根據此處的資訊診斷自己牙齒的問題,應向專業牙醫生查詢。
類別/3D安全低疼痛植牙
前牙案例
黃先生因為車禍而撞斷門牙使用牙肉移植配合齒槽骨增高術植牙恢復美觀
※ 本網站介紹的治療案例僅屬個別案例,對不同人士可能有不同效果。任何案例如與網站流覽者曾接受的治療如有雷同,則純屬巧合。
請勿根據此處的資訊診斷自己牙齒的問題,應向專業牙醫生查詢。
類別/3D安全低疼痛植牙
正中門牙案例
湯小姐因為門牙假牙內蛀牙而拔除後直接植入植體,之後以全瓷冠方式復型三顆門齒
※ 本網站介紹的治療案例僅屬個別案例,對不同人士可能有不同效果。任何案例如與網站流覽者曾接受的治療如有雷同,則純屬巧合。
請勿根據此處的資訊診斷自己牙齒的問題,應向專業牙醫生查詢。
類別/3D安全低疼痛植牙
全口植牙案例
楊小姐因牙周病而全口缺牙,使用補骨與鼻竇增高術的方式植入六顆植體而恢復美觀與咬合
|
 |
|
正面治療前 |
|
正面治療後 |
|
 |
|
咬合面治療前 |
|
咬合面治療後 |
※ 本網站介紹的治療案例僅屬個別案例,對不同人士可能有不同效果。任何案例如與網站流覽者曾接受的治療如有雷同,則純屬巧合。
請勿根據此處的資訊診斷自己牙齒的問題,應向專業牙醫生查詢。
類別/3D安全低疼痛植牙
兩顆門牙案例
兩顆門齒因蛀牙而需要拔除,經斷層評估後適合直接植牙
※ 本網站介紹的治療案例僅屬個別案例,對不同人士可能有不同效果。任何案例如與網站流覽者曾接受的治療如有雷同,則純屬巧合。
請勿根據此處的資訊診斷自己牙齒的問題,應向專業牙醫生查詢。
類別/3D安全低疼痛植牙
前牙現拔現種案例
吳小姐因蛀牙而拔除右上門牙,直接植入植體,恢復美觀
※ 本網站介紹的治療案例僅屬個別案例,對不同人士可能有不同效果。任何案例如與網站流覽者曾接受的治療如有雷同,則純屬巧合。
請勿根據此處的資訊診斷自己牙齒的問題,應向專業牙醫生查詢。
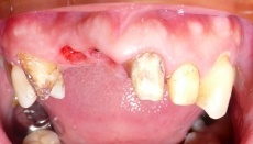
類別/3D安全低疼痛植牙
邱先生-因牙周病而拔牙,右上門牙骨質缺損嚴重,植牙成功重建美觀
原本因牙周病而拔牙,右上門牙骨質缺損嚴重,利用自體骨移植術,將下齒槽骨頭移至右上門牙缺處,並用3D導航植牙成功重建美觀。
植牙前,右側門牙缺牙>因牙周病頰側缺牙區骨質已流失>骨質已流失,導致牙齒鬆動
利用自體骨移植,成功長出一整個骨,並打入釘子>評估後植入植體>裝牙>植牙後
※ 本網站介紹的治療案例僅屬個別案例,對不同人士可能有不同效果。任何案例如與網站流覽者曾接受的治療如有雷同,則純屬巧合。
請勿根據此處的資訊診斷自己牙齒的問題,應向專業牙醫生查詢。
類別/3D安全低疼痛植牙
林小姐-前牙區因蛀牙缺牙五顆,治療建議植牙四顆
以植牙配合全瓷牙冠復形,牙齦不會變黑。現拔現種的治療方式,利用手術模板植入最佳最安全的位置。
植牙前>植入植體
裝上全瓷冠假牙,透明度很好>植牙後
※ 本網站介紹的治療案例僅屬個別案例,對不同人士可能有不同效果。任何案例如與網站流覽者曾接受的治療如有雷同,則純屬巧合。
請勿根據此處的資訊診斷自己牙齒的問題,應向專業牙醫生查詢。
類別/3D安全低疼痛植牙
王先生-長期嚼檳榔及蛀牙,植牙治療成功
因長期嚼檳榔及蛀牙,右上門牙蛀牙,側門牙缺牙,利用3D導航植牙成功配合全瓷牙冠復形。
植牙前>缺牙一顆>植入植體
裝上全瓷冠假牙,透明度很好>植牙後
※ 本網站介紹的治療案例僅屬個別案例,對不同人士可能有不同效果。任何案例如與網站流覽者曾接受的治療如有雷同,則純屬巧合。
請勿根據此處的資訊診斷自己牙齒的問題,應向專業牙醫生查詢。
類別/3D安全低疼痛植牙
陳先生因門牙撞斷缺牙
使用植牙恢復前牙美觀
※ 本網站介紹的治療案例僅屬個別案例,對不同人士可能有不同效果。任何案例如與網站流覽者曾接受的治療如有雷同,則純屬巧合。
請勿根據此處的資訊診斷自己牙齒的問題,應向專業牙醫生查詢。
類別/3D安全低疼痛植牙
楊先生左上四顆缺牙植牙復原
原本左尚缺四顆牙使美觀上受到很大影響
使用植牙後不但恢復美觀
也使咀嚼功能由原本只用一邊現在同時兩邊皆可使用,獲得很大改善
※ 本網站介紹的治療案例僅屬個別案例,對不同人士可能有不同效果。任何案例如與網站流覽者曾接受的治療如有雷同,則純屬巧合。
請勿根據此處的資訊診斷自己牙齒的問題,應向專業牙醫生查詢。
類別/3D安全低疼痛植牙
李先生拔牙後立即植牙
因車禍撞斷門牙,拔牙與植牙同時進行可以大幅縮短等待時間
※ 本網站介紹的治療案例僅屬個別案例,對不同人士可能有不同效果。任何案例如與網站流覽者曾接受的治療如有雷同,則純屬巧合。
請勿根據此處的資訊診斷自己牙齒的問題,應向專業牙醫生查詢。
類別/3D安全低疼痛植牙
上顎全口缺牙植牙
※ 本網站介紹的治療案例僅屬個別案例,對不同人士可能有不同效果。任何案例如與網站流覽者曾接受的治療如有雷同,則純屬巧合。
請勿根據此處的資訊診斷自己牙齒的問題,應向專業牙醫生查詢。
類別/3D安全低疼痛植牙
下顎兩側大臼齒缺牙植牙
因拔牙很久,齒槽骨萎縮,需用3d斷層來定位,成功恢復咀嚼力
※ 本網站介紹的治療案例僅屬個別案例,對不同人士可能有不同效果。任何案例如與網站流覽者曾接受的治療如有雷同,則純屬巧合。
請勿根據此處的資訊診斷自己牙齒的問題,應向專業牙醫生查詢。
類別/3D安全低疼痛植牙
第一大臼齒微創植牙
3D斷層可以看到齒槽骨內的血管與神經,可以非常安全的避免傷害到,在微創植牙中是必要的步驟.
|
 |
|
治療前 |
|
植體放入,手術時間僅約15分鐘 |
|
 |
|
假牙戴入 |
|
咬合觀 |
※ 本網站介紹的治療案例僅屬個別案例,對不同人士可能有不同效果。任何案例如與網站流覽者曾接受的治療如有雷同,則純屬巧合。
請勿根據此處的資訊診斷自己牙齒的問題,應向專業牙醫生查詢。
類別/3D安全低疼痛植牙
拔牙後立即微創植牙
利用微創拔牙可以不開刀直接植入人工牙根,可以大幅縮短植牙完成時間與降低術後之腫痛
※ 本網站介紹的治療案例僅屬個別案例,對不同人士可能有不同效果。任何案例如與網站流覽者曾接受的治療如有雷同,則純屬巧合。
請勿根據此處的資訊診斷自己牙齒的問題,應向專業牙醫生查詢。
類別/3D安全低疼痛植牙
ALL ONE一日全口重建案例
利用斷層重建全口咬合與美觀
|
 |
|
治療前上顎全口無牙 |
|
進行全口植牙 |
|
 |
|
植牙完成恢復美觀與咬合能力 |
|
前牙區美觀
利用3D牙齒掃描機, 當日掃描, 完成裝牙 |
※ 本網站介紹的治療案例僅屬個別案例,對不同人士可能有不同效果。任何案例如與網站流覽者曾接受的治療如有雷同,則純屬巧合。
請勿根據此處的資訊診斷自己牙齒的問題,應向專業牙醫生查詢。
類別/3D安全低疼痛植牙
施先生拔牙後立即植牙
拔牙後立即植牙可以使傷口最小,且大幅縮短等待假牙的時間,防止齒槽骨萎縮,是最理想的植牙方式
※ 本網站介紹的治療案例僅屬個別案例,對不同人士可能有不同效果。任何案例如與網站流覽者曾接受的治療如有雷同,則純屬巧合。
請勿根據此處的資訊診斷自己牙齒的問題,應向專業牙醫生查詢。
類別/3D安全低疼痛植牙
黎先生
右上門牙,側門牙因蛀牙拔除,以植牙配合全瓷牙冠復形
※ 本網站介紹的治療案例僅屬個別案例,對不同人士可能有不同效果。任何案例如與網站流覽者曾接受的治療如有雷同,則純屬巧合。
請勿根據此處的資訊診斷自己牙齒的問題,應向專業牙醫生查詢。
類別/3D安全低疼痛植牙
張先生右上門牙缺牙
使用3D導航植牙成功重建美觀
※ 本網站介紹的治療案例僅屬個別案例,對不同人士可能有不同效果。任何案例如與網站流覽者曾接受的治療如有雷同,則純屬巧合。
請勿根據此處的資訊診斷自己牙齒的問題,應向專業牙醫生查詢。
類別/3D安全低疼痛植牙
吳先生前牙區蛀牙缺牙
使用微創3D植牙與全瓷牙冠復形
※ 本網站介紹的治療案例僅屬個別案例,對不同人士可能有不同效果。任何案例如與網站流覽者曾接受的治療如有雷同,則純屬巧合。
請勿根據此處的資訊診斷自己牙齒的問題,應向專業牙醫生查詢。
類別/3D安全低疼痛植牙
周先生左上門牙撞斷植牙
使用最先進美國奈米植體與全瓷冠復形
※ 本網站介紹的治療案例僅屬個別案例,對不同人士可能有不同效果。任何案例如與網站流覽者曾接受的治療如有雷同,則純屬巧合。
請勿根據此處的資訊診斷自己牙齒的問題,應向專業牙醫生查詢。
類別/3D安全低疼痛植牙
林先生微創植牙
※ 本網站介紹的治療案例僅屬個別案例,對不同人士可能有不同效果。任何案例如與網站流覽者曾接受的治療如有雷同,則純屬巧合。
請勿根據此處的資訊診斷自己牙齒的問題,應向專業牙醫生查詢。
類別/3D安全低疼痛植牙
黃先生微創植牙
微創植牙可以使傷口最小,不腫,不痛
假牙使用德國進口材質耐用美觀
※ 本網站介紹的治療案例僅屬個別案例,對不同人士可能有不同效果。任何案例如與網站流覽者曾接受的治療如有雷同,則純屬巧合。
請勿根據此處的資訊診斷自己牙齒的問題,應向專業牙醫生查詢。
類別/3D安全低疼痛植牙
陳小姐
右下第一大臼齒微創植牙
※ 本網站介紹的治療案例僅屬個別案例,對不同人士可能有不同效果。任何案例如與網站流覽者曾接受的治療如有雷同,則純屬巧合。
請勿根據此處的資訊診斷自己牙齒的問題,應向專業牙醫生查詢。
類別/3D安全低疼痛植牙
植牙全瓷牙冠-黃小姐
※ 本網站介紹的治療案例僅屬個別案例,對不同人士可能有不同效果。任何案例如與網站流覽者曾接受的治療如有雷同,則純屬巧合。
請勿根據此處的資訊診斷自己牙齒的問題,應向專業牙醫生查詢。
類別/3D安全低疼痛植牙
單顆植牙-連先生
※ 本網站介紹的治療案例僅屬個別案例,對不同人士可能有不同效果。任何案例如與網站流覽者曾接受的治療如有雷同,則純屬巧合。
請勿根據此處的資訊診斷自己牙齒的問題,應向專業牙醫生查詢。
 |
|
 |
|

|
|